Когда врач говорит о дополнительном обследовании печени, многие представляют себе громоздкую технику и неизвестный процесс. Эта статья расскажет просто и по делу, зачем назначают контрастную компьютерную томографию печени, как к ней подготовиться, что показывают снимки и какие нюансы стоит учитывать перед походом в клинику.
Что такое контрастная КТ и как она работает
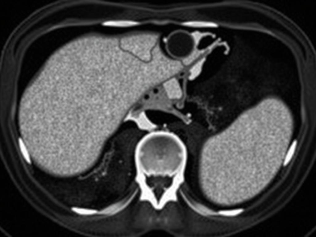
Компьютерная томография печени с контрастом — это серия рентгеновских снимков, объединённых в трёхмерную картинку, снятая после введения контрастного вещества. Контраст помогает выделить сосуды и патологические образования, делая картинку информативнее, чем обычная неусиленная томография. Больше информации о том какая на КТ печени с контрастом цена Москва, можно узнать пройдя по ссылке.
Принцип простой: контраст аккумулируется в тканях по-разному, и плотность этих участков меняется на изображениях. По этим изменениям врач судит о наличии опухолей, метастазов, абсцессов и других проблемах.
Кому и зачем назначают исследование
Чаще всего контрастирование требуется при подозрениях на опухолевые процессы, при необходимости уточнить характер уплотнений или при оценке сосудистой архитектуры печени. Это исследование — важный инструмент при планировании операций и выборе тактики лечения.
Также томография с контрастом используют для контроля после терапии: например, чтобы оценить эффективность локальных вмешательств или заметить рецидив на ранней стадии. То есть задача не только «поймать» патологию, но и понять её поведение.
Основные показания
Перечень показаний достаточно широкий, и я приведу самые частые ситуации, когда врач направляет на исследование:
- подозрение на первичную опухоль печени;
- подозрение на метастазы при известном раке других органов;
- оценка размеров и структуры очагов при циррозе;
- диагностика печёночных абсцессов или гематом;
- подготовка к операции или интервенционной процедуре.
Каждая из этих ситуаций требует тонкой настороженности и точной визуализации — здесь контраст часто оказывается решающим.
Как подготовиться к исследованию
Подготовка несложная, но важная. За 4–6 часов до исследования рекомендуется не есть, пить можно умеренно, лучше воду — это снижает риск тошноты и помогает качеству снимков.
Если вы принимаете лекарства, особенно для диабета (метформин), сообщите об этом заранее. Некоторые препараты требуют временной отмены, чтобы снизить риск побочных эффектов от контраста.
Практические советы перед визитом
Возьмите с собой направление, результаты предыдущих УЗИ или КТ, список лекарств и информацию о аллергиях. Удобная одежда и отсутствие металлических предметов облегчат процедуру и ускорят её проведение.
Если вы волнуетесь — это нормально. Сотрудники рентген-кабинета объяснят каждый шаг, а при необходимости подберут комфортную позу и успокаивающие меры.
Как проходит сама процедура
Исследование обычно занимает 20–40 минут, но время может варьироваться в зависимости от протокола и подготовки. Сначала выполняют несколько сканов без контраста, затем вводят контраст внутривенно и повторяют серию снимков в разные фазы.
Фазы важны: артериальная, портальная и отсроченная показывают разные свойства тканей. Например, некоторые опухоли ярче видны в артериальной фазе, а другие — в портальной.
Фазы и что они выявляют
| Фаза | Время после введения контраста | Что видно |
|---|---|---|
| Неусиленная | до введения | базовая плотность тканей, кальцинаты, кровоизлияния |
| Артериальная | 20–30 секунд | гиперваскулярные опухоли, артериальные аномалии |
| Портальная | 60–70 секунд | метастазы, большинство очагов печени |
| Отсроченная (венозная) | 3–5 минут | склонность контраста задерживаться в тканях, рубцы |
Таблица помогает понять, почему врач просит именно такой протокол съёмки. Каждая фаза дополняет картину и уменьшает риск пропуска важной детали.
Контрастное вещество: что нужно знать о безопасности
Современные йодсодержащие контрасты в целом безопасны, но у некоторых пациентов возможны реакции. Наиболее частые — тошнота, зуд, крапивница; серьёзные анафилактоидные реакции встречаются редко.
Перед процедурой уточняют наличие аллергий и заболевания щитовидной железы, а также функцию почек. При нарушении почечной функции подход к контрастированию корректируют или выбирают альтернативы.
Как интерпретируют результаты
Расшифровка снимков — работа радиолога в связке с лечащим врачом. В отчёте описывают размеры и локализацию очагов, характер накопления контраста и наличие изменений в окружающих структурах.
Иногда одна КТ не даёт окончательного ответа, и для уточнения требуется МРТ или биопсия. Но в большинстве случаев контрастная томография существенно сужает круг диагнозов и помогает спланировать дальнейшие действия.
Преимущества и ограничения метода
К плюсам относят высокую пространственную резолюцию, скорость исследования и хорошую доступность в клиниках по сравнению с МРТ. Контраст позволяет увидеть сосуды и характер васкуляризации очага.
Ограничения связаны с лучевой нагрузкой и возможными побочными эффектами контраста. Кроме того, мелкие очаги размером до нескольких миллиметров иногда остаются незамеченными, особенно при ожирении или выраженном артефакте от дыхания.
Краткий список преимуществ и недостатков
- Преимущества: высокая информативность, скорость, доступность.
- Недостатки: лучевая нагрузка, риски контрастной реакции, ограничения при почечной недостаточности.
Противопоказания и риски
Основные противопоказания — тяжёлая аллергическая предрасположенность к йодсодержащим веществам и выраженная почечная недостаточность. Беременность считается относительным противопоказанием и исследование проводят только при острой необходимости.
Если есть сомнения, клиника предложит альтернативы: МРТ с контрастом менее вредна для почек в некоторых ситуациях, а УЗИ с контрастом имеет свои показания и ограничения.
Что происходит после исследования
После процедуры обычно наблюдают пациента короткое время, чтобы убедиться, что нет немедленных реакций. Большинство людей возвращаются к обычной деятельности в тот же день.
Результаты готовы в течение нескольких часов или дней—всё зависит от нагрузки рентген-отделения и сложности исследования. Обсудите с врачом, кто и когда вам их объяснит.
Личный опыт и тонкости общения с врачом
Как автор, неоднократно сталкивался с тем, что пациенты идут на исследование напуганные терминологией. Одному моему знакомому сначала не объяснили фазы сканирования, и он волновался из-за нескольких повторных серий снимков. Когда врач подробно рассказал, возникло понимание и спокойствие.
Мой совет: не стесняйтесь просить объяснить отчёт простыми словами и уточнять следующий шаг в диагностике. Взаимопонимание с врачом экономит время и снижает тревогу.
Контрастная компьютерная томография печени — мощный диагностический инструмент. Она не всегда даёт окончательный диагноз сама по себе, но значительно повышает точность оценки состояния органа и помогает выбрать оптимальную стратегию лечения. Подготовьтесь заранее, сообщите врачу о всех хронических заболеваниях и аллергиях, и тогда исследование пройдет максимально комфортно и информативно.
